![]()
ホワイトニングは、歯を削らずに、天然の歯の美しさをより「白く・美しく」際立たせてくれる方法です。
どこまで白くなるかは、個人差がありますが、実は、これが天然の歯を白くする「最も低侵襲で、最も効果がある」方法なのです。
大西歯科医院には、日本人の標準色とされる「Vitaシェードガイド」のA3.5からより白くしたい方や幼少時に服用したお薬(テトラサイクリンという抗生物質)の副作用で茶色く変色している歯を少しでもいいので白くしたいという方までいろいろな方が来られています。茶渋などのステインはPMTCのみで、ほとんどの場合きれいに落とせますが、さらに白くしたい場合や加齢による黄ばみや生まれつきの歯の黄ばみには、ホワイトニングが非常に効果的です。
大西歯科医院では、気軽にはじめられる“ホームホワイトニング”をおこなっております。
患者さん専用のマウスピースを製作し、ご自宅で就寝中に装着し使っていただきます。約3~4週間で終了します。
●手順
STEP1 口の中を診察し、大きな虫歯がない場合は、歯のクリーニングの後に歯型の型取りをおこないます。
STEP2 患者さん専用のマウスピースとホワイトニングジェルをお渡しします。
STEP3 週に1回程度来院していただき、色の変化をチェックの後、歯のクリーニングをおこないます。
多少の個人差はありますが、ほとんどの方は1週間ほどで白くなってきたことが、ご自身でも実感できます。ただし、白さは永久的なものではないのでホワイトニング終了後も定期的な歯のクリーニングが必要です。

術前

術後

術前

術後

術前

術後
神経を取ってしまった歯(失活歯)は時間の経過とともに茶色っぽく変色してくることがあります。そして、その黒さが特に強度な場合は、歯ぐきを透過してしまい、歯だけでなく歯ぐきも黒っぽく見えてくる時もあります。
そのような場合、歯の裏側に小さな穴をあけて専用の薬をつめて漂白をおこなうことにより、歯だけでなく歯ぐきもきれいなピンク色に回復してきます。
週に1回薬を交換し、ほとんどの方は3~4回の薬の交換で劇的に白く変化します。
終了後は、裏から歯と同じ色のコンポジットレジンという材料を充填します。
●歯の漂白 症例1
1.初診時
前歯2本はかなり昔に神経を取ってしまったために強度に変色しています。
![]()
2.漂白終了時
漂白を3週間おこない、ここまで白さが回復しました。
![]()
3.治療終了時
漂白した色に合わせ、レジンという材料で欠けた部分を補修して終了です。
●歯の漂白 症例2
1. 初診時です。
前歯3本の色が気になるとのことでした。何年も前に神経が取ってあるためにくすんだ色になってしまっています。差し歯にすることも考えましたが、若い患者さんなので、御相談の上、漂白を試みることにしました。
![]()
2. 拡大です。
ところどころにプラスチック製の詰め物がしてあるようです。
矢印の歯を漂白していきます。
![]()
3. そこで歯の裏に小さな穴を開けて漂白を行いました。
約2週間でここまで白くなりました。
プラスチック製の詰め物は漂白されないので、かえって変色が目立ってきています。
![]()
4. 歯茎に近いところが白く変化してきている様子がわかります。
ここまで白くなれば漂白は終了です。
![]()
5. 古いプラスチック製の詰め物は、漂白によって白くなった歯の色に合わせてすべて詰め替えました。
![]()
6. ずいぶん明るく、綺麗になりました。漂白は時間がかかりますが歯をあまり削る必要がないので良い方法と思います。
●歯の漂白 症例3
1. 初診時です。
長年にわたる歯の変色にお困りの方でした。
ここまで変色が強度ですと、どこまで白さを回復できるか若干心配でしたが漂白を試みることにしました。
![]()
2. 漂白終了時です。
かなり時間はかかりましたが、とても綺麗になりました。
患者さんからは「こういう方法があると知っていれば、もっと早くやってました」とのお言葉をいただきました。
●歯の漂白 症例4
1. 術前
上の前歯3本の変色が目立ちます。
![]()
2. 術後
約4週間でここまで回復しました。
●歯の漂白 症例5
1. 術前
左側の歯の変色が目立ちます。
![]()
2. 術後
やや白くなりすぎましたが若干の後戻りもありえますので、このくらいの白さがベストともいえます。
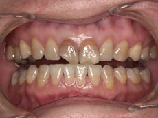
●歯の漂白 症例6
1. 術前
過去に神経を取ってしまった前歯2本が変色し、歯茎の色も強度に黒ずんでいることが分かります。漂白をおこなうことにしました。
拡大すると歯根の変色が歯ぐきの黒ずみの原因であることがよく分かります。
![]()
2. 術後
約4週間でここまで回復しました。
歯ぐきも、本来のきれいなピンク色が取り戻せました。
残念ながら歯の色は完全には戻りませんでしたが、患者さんには満足していただけました。
単にきれいな被せ物を入れるだけでは、歯ぐきの色をここまできれいにすることはできません。