
インプラントとは天然の歯の代用になる人工歯根のことです。
日帰り可能な小手術によって顎の中にインプラントを埋め込みます。
大西歯科医院では、インプラントの全症例に対して術前に院内でCT撮影をし、安全かつ精度の高い手術を目指しています。
ブリッジ
ブリッジという治療法では、周りの健康な歯を削ってブリッジにします。 |
入れ歯
入れ歯がズレたり、食べ物が内側に入って痛かったりします。 |
|
健康な歯をまったく削ることなく、歯のない部分にインプラントを入れます。 |
||
楽しい食事は体を健康に保つだけでなく、心までも健康にします。
当院で採用しているインプラントは、ITIインプラントです。
ITIインプラントはスイスのストローマン社で製造している1回法の代表的なインプラントで、1974年から臨床応用されています。最近では、「ストローマンインプラント」と呼ばれています。
ITIインプラントの大きな特徴は、フィクスチャー表面の「SLA」(Sand-blasted Large-grit Acid-etched)という性状にあります。これはストローマン社が独自に開発したもので、フィクスチャー表面にマクロラフネスとマイクロラフネスを与え、骨とも結合「オッセオインテグレーション」を促進するというものです。
これにより、インプラント体と骨との早期の結合が期待でき、早ければフィクスチャー埋入後約6週間という短期間で上部構造を装着することが出来ます。
また、製造元であるストローマン社が行なっているインプラントの研究・科学的な文献による裏付け、生産・管理などは世界でもトップクラスで、そのことと20年以上に渡る実績がITIインプラントの信用性を不動のものとしています。
インプラントを長持ちさせるためには、治療後の定期的なメンテナンスが欠かせません。
インプラント治療を受けた医院へ生涯通えたらよいのですが、転居などで通院が出来なくなることも考えられます。ところが、インプラントはメーカーによって必要なパーツが異なり、メーカーごとの専用パーツがないとメンテナンスやトラブル時の対応が行えません。
このストローマンインプラントは世界でもトップクラスのシェアを誇るので、全国各地の多くの先生が使用していますし、極論を言えば、世界中の歯科医院でアフターケアが受けることができます。どこへ引っ越しすることになっても安心なのです。
STEP1
レントゲン、口の中の診査の後、インプラント治療に関する説明をおこないます。
STEP2
チタン製のインプラントを局所麻酔で顎の中に埋め込みます(一本あたり30分から一時間で終わります)。
STEP3
インプラントと骨がしっかりくっつくまで約6週間から8週間(骨の形状、硬さなどにより変わります)待ちます。
STEP4
型取りをおこなって、仮歯を作ります。
STEP5
仮歯で1ヶ月程度経過を観察し、問題がないことを確認した後、最終的な種々のかぶせ物を作ります。
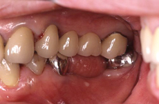
●症例1
術前

向かって右の一番奥の歯は根が折れていたので抜歯しました。
![]()
術中

奥歯に2本インプラントを埋め込んだところです。
![]()
術後

奥歯に3本のセラミックの歯がセットできました。

レントゲン写真です。2本のインプラントが骨としっかり結合していることがわかります。
●症例2

術前

術後