不幸にして歯を失ってしまった場所に自分の歯(主に親知らずなどの不要な歯)を移植する方法です。
歯周病が進行してしまい、移植をしたい場所の骨の量が少ない方や移植する親知らずの歯根膜 (歯の回りに付着している靭帯のような組織)が少ない方には不向きな方法ですが、種々の条件さえクリアできればインプラントよりもお勧めの方法です。

1.初診時です。
向かって右下の一番奥歯がないため、矢印の部位に上の親知らずの歯牙移植を試みることにしました。
![]()

2.残っている奥歯は被せものが取れてしまっています。矢印の部位に親知らずを移植します。
![]()

3.まず、残っている奥歯に仮歯を装着し咬み合わせを確保しました。
![]()

4.親知らず(矢印)を移植した直後です。手前の仮歯と専用の接着剤で固定しました。
![]()

5.移植2ヶ月後です。この時期には根の治療や土台の治療が終了しています。
![]()

6.移植した親知らず(矢印)の周囲の歯ぐきの状態も全く問題ありません。親知らずはしっかりと生着しました。
![]()

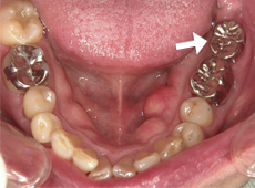
7. 被せものを装着して終了です。矢印が移植した親知らずです。