![]()
大西歯科医院では、「歯の形」や「歯並び」や「歯の色」といった白く輝く美しい歯を取り戻すための審美歯科治療に力を入れています。
話をするとき、笑うとき、食事をするとき、歯の美しさで人に与える印象はずいぶん変わります。最近では「虫歯の治療」から「歯を綺麗にしたい」といった目的で来院される患者さんが増えてきました。方法や種類にはさまざまなものがあり、ご要望に応じております。また、白いセラミックの差し歯を入れる前に、周囲の歯をホワイトニングによりワンランク白くしておき、より美しく調和した仕上がりを期待する場合もあります。
![]()
時間をかけて、丁寧に作り上げ、ようやく完成したかぶせものをより長く、安心してお使いいただきたい。そんな思いから当院では、5年間の保証制度を2004年の開院時より導入しています。
定期検診にご来院いただいているにもかかわらず、万が一割れたり、欠けたり、外れたりした場合、その再製作にかかる費用はすべて無償にさせていただきます。
当院では下記の規定に従い、5年間無償保証致します。
自費治療の各種セラミック補綴物(セラミックラミネートベニア、オールセラミッククラウン、セラミッククラウン、ハイブリッドセラミッククラウン、ハイブリッドセラミックインレー)の5年間無償保証制度を設けております。
| 種類 |
|
|
|
プラスチック前装冠
|
| 保証 | 5年 | 5年 | 5年 | × |
| 生体 親和性 |
★★★★★ | ★★★★★ | ★★★★ | ★★ |
| 耐久性 | ★★★★★ | ★★★★★ | ★★★★ | ★★ |
| 美しさ | ★★★★★ | ★★★★ | ★★★ | ★★ |
| 解説 | 100%セラミック(陶材)を使ったものです。フレームはアルミナスかジルコニアを用います。 | 金属フレームにセラミック(陶材)を焼き付けたものです。 | セラミック(陶材)にプラスチックを混ぜた材料を使ったものです。 | 金銀パラジウム合金の表面に硬質レジンというプラスチックを貼り付けたものです。 |
| ワン ポイント |
究極の美しさ | こだわりの美しさ | 日常での自然さ | 保険適用 |
| 長所 | ●フレームが金属でないため、光が冠を透過するので、メタルセラミックよりもさらに透明感があり、自然の歯の色に限りなく近くなり、大変美しく仕上がります。芸能人の多くがオールセラミックを使用しています。 ●プラスチックと異なり水分を吸収しないので、いつまでも美しい白さを維持することができます。 ●プラスチックと異なり磨耗がなく、耐久性に優れます。 ●金属を使用していないので、金属アレルギーの心配がありません。 ●高精度かつ汚れが付着しにくいため、歯周病や2次むし歯になるリスクが低くなります。 |
●自然の歯の色に近いので、会話の最中に歯が見えるような場合でも、ほとんど気付かれることはありません。 ●プラスチックと異なり水分を吸収しないので、いつまでも美しい白さを維持することができます。 ●プラスチックと異なり磨耗がなく、耐久性に優れます。 ●高精度かつ汚れが付着しにくいため、歯周病や2次むし歯になるリスクが低くなります。 |
●自然の歯の色に近いので、会話の最中に歯が見えるような場合でも、気付かれることはあまりありません。 ●メタルセラミック・オールセラミックに比べ安価です。 ●高精度かつ汚れが付着しにくいため、歯周病や2次むし歯になる可能性が低くなります。 |
●保険が適用できるので、経済的な負担が少なくて済みます。 |
| 短所 | ●ガラス質なので、極度に強い衝撃を与えると割れることがあります。 |
●ガラス質なので、極度に強い衝撃を与えると割れることがあります。 |
●プラスチックを含んでいるため、メタルセラミック・オールセラミックに比べ耐久性が低く、変色します。 |
●2~3年経過するとプラスチックが水分を吸収するため色が黄ばみます。 ●プラスチックはやわらかく、歯磨きにより磨耗するため耐久性に欠けます。 ●細菌がつきやすく不衛生になりがちで、歯周病になるリスクが高くなります。 ●金属アレルギーを引き起こすことがあります。 |
最新の方法で、全てセラミックでできており、金属を全く使用しないため、天然歯色に限りなく近似し最も審美的に仕上がります。金属アレルギーの方にお勧めです。全く変色しません。ただし、金属製の土台がすでに入っている歯の場合、白色のファイバー製の土台に作り替える場合があります(土台の金属の色が透過するため)。
●当院で採用するオールセラミッククラウン(ジルコニア、e.max)について
ジルコニア(ZrO2):
欧米では白い金属ともいわれ、人工ダイヤモンドとしても有名ですが日本では2005年より認可が下りオールセラミックに使用できるようになってきています。
CAD/CAMというコンピューターでデザインしたものをブロックからミクロン単位で精密に削りだすシステムを用います。
金属のような強度があり腐食することもなく、曲げ強度は1300Mpaもあり通常このフレームが破折することは考えられません。ただし、フレームの外側には通常のセラミック(曲げ強度80~120Mpa)が盛り付けているので、歯ぎしりの激しい方や食いしばり癖のある方の場合、表層のセラミックが割れたり、チップすることがあります。
e.max:
現在当院で一番お勧めしているのは、2ケイ酸リチウムガラスを主成分としている
イボクラービバデント社のe.maxです。
専用のセラミックのインゴットを溶解させ流し込んで製作します。
圧倒的な透明感と曲げ強度360~400Mpaにより、一本の歯として製作した場合、現在使用可能な素材としては高い耐久性と審美性を兼ね備えた優れものです。

1.初診時です
上の前歯(5本)をセラミッククラウンにすることになりました。歯ぐきもずいぶん腫れています。

2.横から見たところです
糸切り歯の詰め物の変色が目立ちます。

3.まず、仮歯に変えていきます
患者さんにブラッシングをがんばっていただいたこともあり、歯ぐきがとてもきれいになってきています。

4.治療終了時です
セラミッククラウンは不自然さの少ない、きれいな色に仕上がりました。

5.横から見たところです。

6.歯ぐきの状態もとても良好です。
薄い金属のフレームの上にセラミックを焼き付けてあるため、強度的に優れており、色調に透明感を出しやすく、天然歯色に非常に近いもっともポピュラーな審美材料です。全く変色しません。経年的な歯ぐきの退縮に伴う黒ずみが少しでも心配であればカラーレスセラミック(歯ぐきに近いところに全く金属が出ない)という方法もあります。
●カラーレスセラミッククラウン
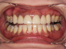
術前
上の前歯4本のバランスと下の歯の歯並びを気にされて来院されました。

術後
上の前歯は3本のカラーレスセラミック、1本はラミネートベニアという手法を用いました。下の前歯は矯正治療により歯並びを改善しました。

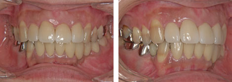
術前
上の前歯4本のセラミックの色調と形態、歯肉の黒ずみの改善を希望され来院されました。

術後
元々入っていた金属製の土台を撤去し、ファイバー製の土台に変えたため、歯肉の色も綺麗になりました。

●セラミッククラウン
術前

術後

●メタルボンドブリッジ症例
1. 術前です。
歯並びのバランスが悪く、色調ももうひとつでした。上の前歯6本をメタルボンドクラウンで治療することになりました。
![]()
2. 術後です。
抜歯や根の治療などで約半年かかりましたが、ようやく完成です。
![]()
3. 色調の具合を見るために前歯を合わすように咬んでもらったところです。
下の前歯ともうまく色調がマッチしました。
![]()
4. 拡大したところです。
上の前歯の6本がメタルボンドブリッジです。
近年開発されたもので,プラスチックとセラミックの混合材料です。金属フレームの上にハイブリッドセラミックが貼り付けてあります。奥歯に銀歯を入れたくない方やできるだけ安価に白い歯にしたい方にお勧めです。セラミッククラウンに比較すると色調がやや単調で透明感が出しにくいのですが、審美性を大きく問わない奥歯に用いるには良い材料です。ただし、経年的に若干変色します。
近年開発されたもので,プラスチックとセラミックの混合材料です。 金属を全く使用しないため、 金属アレルギーの方にお勧めです。奥歯用の小さめのかぶせものです。セラミック製のものもあります。
術前

術後

「コア」とは神経を取ってしまい、歯の大部分を失ってしまった時に、残った歯を補強するための「土台」あるいは「芯棒」のようなものです。
これまでは金属を鋳造して作られたもの(メタルコア)を多く用いていましたが、日本人は歯肉のうすい方が多いのでどうしても歯の根元に金属色が黒く透けてしまい、美しくありませんでした。また、金属は歯より硬いために、噛んでいるうちに金属が楔(くさび)となって根にヒビが入ってしまうことがありました。根にヒビが入ってしまったら、ほとんどのケースで、抜歯しなければなりません。
このようなことがわかってから、当院では自費治療の際にグラスファイバー製の「ファイバーコア」を使うことがここ数年多くなってきています。歯に近い白い色で作れるので、光の透過性もよく、セラミック製のかぶせものがより美しく仕上がります。また、ファイバーコアには、歯根に近似した「しなり」・「たわみ」があるため、歯根にヒビが入る確率がぐんと減ります。もちろん、錆びたり、アレルギーを引き起こしたりもしません。
| 種類 | ファイバーコア(グラス
|
ゴールドコア
|
メタルコア(銀合金製)
|
| 安定性 | ★★★★★ | ★★★★★ | ★★ |
| 美しさ | ★★★★★ | ★★ | ★ |
| ワン ポイント |
健康・審美 | 安定性・歴史 | なるべく安価に |
| 長所 | ●グラスファイバーと強化樹脂でできているため、強固でしなりに強い(歯が折れにくい)。 ●歯の付け根を明るく見せることが可能。 ●金属アレルギーを起こさない。 |
●腐食しない。 ●程よい硬さがある。 ●古くから使われている歴史あり。 |
●安価 |
| 短所 | ●高価 |
●高価 ●若干だが歯の付け根を暗く見せてしまうことがある。 |
●腐食しやすく、歯の付け根の部位が黒くなることがある(銀イオンが溶け出す)。 ●歯肉に黒っぽい変色を起こしやすい。 ●歯よりも硬いので、歯が折れることがある。 ●金属アレルギーの原因になりうる。 |